Skip to content
Dr. Li-Mei Lin
Cerebrovascular and Neurointerventional Neurosurgeon
Menu
Home
About
Conditions & Treatments
Brain (Cerebral) Aneurysms
Brain AVM
Subarachnoid Hemorrhage (SAH)
Cerebral Angiography
Aneurysm Flow Diversion
Patient Stories
Contact Me
Updates & Resources
IMG_1008
Posted on
June 9, 2017
by
drlimeilin
Post navigation
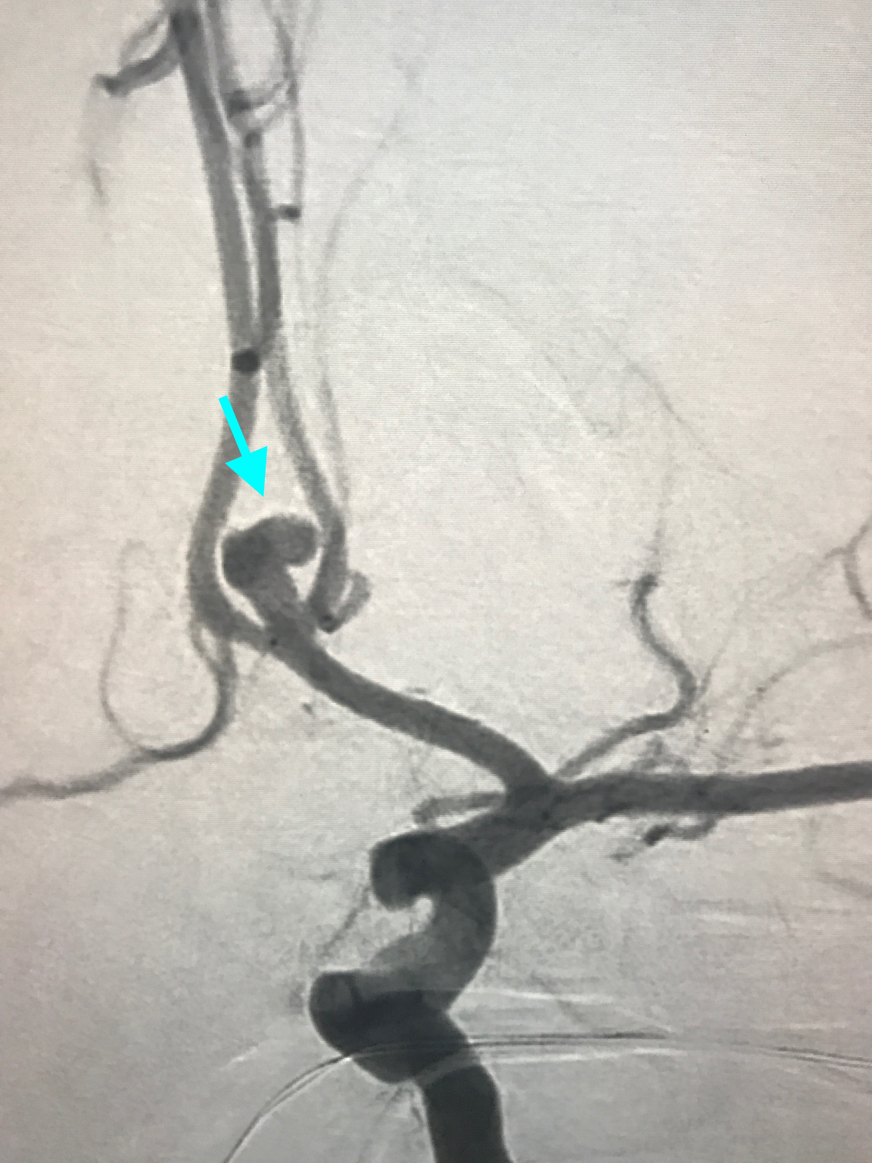
The Myth That Small Brain Aneurysms Don’t Rupture
Leave a comment
Cancel reply
Δ
Comment
Subscribe
Subscribed
Dr. Li-Mei Lin
Sign me up
Already have a WordPress.com account?
Log in now.
Dr. Li-Mei Lin
Subscribe
Subscribed
Sign up
Log in
Copy shortlink
Report this content
View post in Reader
Manage subscriptions
Collapse this bar