Definition
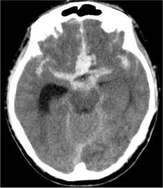
Bleeding into the subarachnoid space from rupture of a brain aneurysm. The subarachnoid space is the area between 2 layers of covering of the brain and typically contains the blood vessels of the brain as well as the cerebrospinal fluid (CSF). Aneurysmal SAH is considered a type of hemorrhagic (bleeding) stroke.
**SAH can also be caused by rupture of a brain AVM. Click here to read more about brain AVMs.
Key Facts
- 10-15% die before reaching a hospital
- Overall mortality 45%, morbidity 66%
- Average rupture size 4.5mm
- Risk of rebleed
- 4% in first 24 hours
- 15-20% within 14 days
- Mortality 50-80%
Risk Factors

- Middle-aged females
- Hypertension
- Smoking
- Illicit drug use
Symptoms
- Headache
- Nausea and/or vomiting
- Decreased level of alertness
- Seizures
- Focal weakness
Treatment
There are 3 key stages in the treatment of aneurysmal SAH:
1. Hydrocephalus
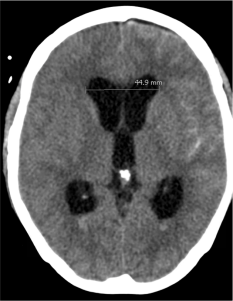
Hydrocephalus is the accumulation of the cerebrospinal fluid (CSF) in the fluid-filled spaces of the brain (ventricles). In SAH, hydrocephalus occurs when the blood in the subarachnoid space blocks the normal drainage of the CSF. Hydrocephalus can lead to elevated intracranial pressures (ICPs), which results in decreased consciousness and subsequent coma if not treated immediately. A bedside procedure can be performed where a catheter is placed into the ventricle to drain the CSF. This procedure is called a ventriculostomy or external ventricular drainage (EVD).
2. Brain Aneurysm
In aneurysmal SAH, the cause of the SAH is rupture of a brain aneurysm.
Click here to read more about brain aneurysms
When a brain aneurysm has ruptured, it has a high risk of rupturing again and a second rupture carries significant risk of mortality. For these reasons, it is imperative to find the ruptured brain aneurysm as soon as possible with a special test called cerebral angiography that provides a map of the blood vessels in the brain (click here to read more about cerebral angiography). Once the aneurysm is found, it can be treated 2 different ways:
- Open surgical aneurysm clipping
- Minimally invasive neuroendovascular aneurysm coiling
3. Vasospasm
After SAH occurs, the blood vessels in the subarachnoid space are covered in blood and can become irritated by this new environment. They react to the blood by constricting or clamping down — this is called vasospasm. If vasospasm occurs, it can decrease the blood flow to the brain and result in a stroke. Vasospasm can happen beginning day 4 after the hemorrhage event and up to day 14. During these 2 weeks, patients are closely monitored in the ICU and treated for the vasospasm if it occurs.
Recovery
The recovery process from aneurysmal SAH is typically extensive and dependent on several factors, including the effect of the initial rupture as well as the presence and severity of vasospasm. Key facts about recovery:
- Need for rehabilitation, including physical therapy, occupational therapy and even speech + cognitive therapy is common
- Timeline for recovery is at least 1 year to 1.5 years, although some patients may return to part-time work within 3-6 months
- There will be several ups and downs in the recovery (similar to the stock market), however the general trend is an upward improvement
- Majority of patients have no recollection of the entire SAH hospitalization
- SAH is a significant life-altering event — some patients may need psychological counseling to help with emotional distress
Follow-up
Close follow-up with your neurosurgeon is imperative for several reasons:
- Ruptured aneurysms have a higher risk of recurrence
- There is additional risk of new brain aneurysm forming in a different location
