A severe headache that can be characterized as “thunderclap” or “worst headache of life” is considered an emergency. This can be a sign of a hemorrhagic (bleeding) stroke called subarachnoid hemorrhage caused by a brain aneurysm that has burst open.

This is a life-threatening emergency. Click here to read more about subarachnoid hemorrhage from brain aneurysm rupture.
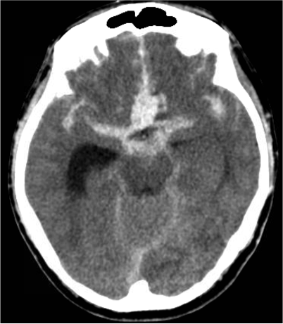
The image to the right is a CT scan showing subarachnoid hemorrhage from a brain aneurysm rupture. The bright white border is the skull. The gray substance is the brain. The bright areas inside the brain that’s not as white as the skull is the subarachnoid hemorrhage blood in the brain.